“結果”にこだわる
マウスピース矯正
顔貌から理想的な歯の位置を決定し
デジタル上で個々の歯の動きを細かく
事前シミュレーション
三重県津市の
目立たないインビザライン矯正歯科専門
- 取り外せる
- 痛みが少ない
- 透明で目立たない

mouthpiece


mouthpiece
マウスピース矯正をお考えの方は
お気軽にご相談ください
それがインビザラインです
一般的な矯正治療は歯の表面にブラケットを装着し、
そこにワイヤーを通して歯並びを整えていきますので、
ワイヤーが目立ち周りの方に矯正治療中だとすぐに分かってしまいます。
マウスピース矯正は透明な装置のため周りの方にほとんど気づかれずに歯並びを整えていくことができます。
また、取り外すこともできますので、
食事や歯磨きも普段通りに行うことができます。
マウスピース型矯正装置
(インビザライン)は
とても多くのメリットがあります
マウスピース矯正は3D口腔内スキャナーで歯をスキャンしてから治療を進めていきますので、そのデータにより治療中の歯の動きが正確にシミュレーションできます。
デジタルデータ上で、歯1本1本の角度や回転具合を骨の状態に合わせて細かく設定することができますので、最終的な仕上がりに差がでます。
マウスピースは一定期間毎に交換していきますので、それぞれの段階に合わせて無駄にならない歯の移動を計画することができます。
従来のワイヤーによる矯正治療に比べると、矯正力が適切なため装置装着時の痛みや違和感が少ないです。
従来のワイヤーによる矯正治療は、早期接触といって特定の歯が強く当たり噛み合わせがずれる場合がありますが、マウスピース矯正は面と面で合うため噛み合わせがずれることがなく、顎関節にも優しいです。

透明な素材で作られていますので、装置を装着していても気づかれることがほとんどありません。

簡単に取り外すことができますので、食事も普段通りに行うことができストレスフリーです。

歯磨きの際は取り外す事で普段通りに歯磨きを行うことができます。
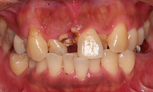
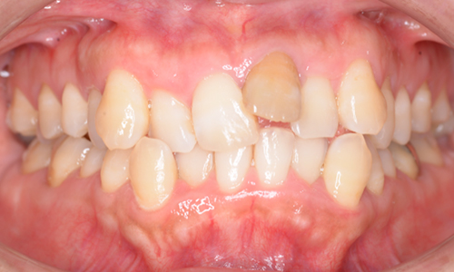
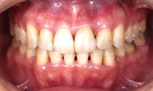
軽度から重度まで
色々な症例に対応
当院では、これまでに多くの歯並びをマウスピース矯正できれいにしてきた実績がありますので、
前歯だけ整えたいなどの部分的な矯正から、全体的にきれいにしたい矯正まで、幅広く対応しています。
歯並びでお悩みの方はお気軽にご相談ください。
マウスピース矯正は治療開始前にどれだけ綿密に術前診査を行うかが大切です。
口腔内スキャナーによる型採り、口腔内や顔貌の写真撮影、
歯周病の検査などさまざまな検査を行い、
その結果をもとに綿密な治療計画を立てます。
結果にこだわるから
当院はここまで行います
更に
マウスピース矯正中に、治療期間の短縮をしたい場合や、取り外すことが面倒だと感じた場合、歯の動きが悪い場合などにブラケット矯正に移行する場合がありますが、その場合の追加料金は0円です。
インプラントアンカーを行うことで治療期間が短くなる場合がありますが、当院はご要望や症例に応じてこのインプラントアンカーを使用する場合がありますが、その追加料金も0円です。

矯正治療を専門で行っている歯科医院の場合、矯正前や矯正中にむし歯や歯周病が見つかった場合は、別の歯科医院に通院して治療を行う必要があります。
当院は総合歯科医院のため、むし歯や歯周病の治療、歯のクリーニングなどにも対応ができます。
更に
審美治療との併用で
歯の見た目や色も
整えることができます
当院は審美治療も行っておりますので、マウスピース矯正と併用して行うことで、歯の形や色の改善、全体のバランス調整やガミースマイルの改善などもできます。お気軽にご相談ください。
抜歯が必要な場合でも
インビザラインで対応
抜歯が必要な重度の不正咬合は、ワイヤーによる矯正を行う歯科医院が多いですが、当院では豊富な経験・知識によりインビザラインによる治療が可能です。
可能な限り非抜歯の
治療計画
できる限り歯を抜かなくても理想の歯並びになるように、綿密な術前検査により治療計画をたてます。
顎関節に優しい位置で
噛み合わせを作る
ただ見た目をきれいにするだけではなく、顎関節に負担がかからない位置での噛み合わせになるようにしていきます。
治療の結果は事前の正確な診断が大切です。
当院では、先端設備による精密な診断を行った上でマウスピース矯正を行います。
顔貌から理想的な歯の位置を決定し、
デジタル上で個々の歯の動きを細かくシミュレーションします。

歯科用CT
口腔内を立体的に撮影できる歯科用CTにより、歯の周囲の骨の状況を診断します。

セファロレントゲン
上下顎の大きさや位置、形、口元のバランスなどが正確に診断できます。

3D口腔内スキャナー
お口の中をスキャンするだけで歯型がとれますので、患者さんの負担が少ないです。

カウンセリングルーム
個室のカウンセリングルームがありますので、周りを気にせずにお話することができます。何でもお気軽にご質問ください。

個室診療室
プライバシーに配慮した個室診療室になっております。リラックスして治療をお受けいただけます。
TOTAL FEE SYSTEM
明瞭な料金体系
~当院はトータルフィ―制度を導入しています~
成人矯正 850,000〜950,000円(税抜)
(難易度による)
※矯正分析、抜歯、インプラントアンカー、調整料、保定料が含まれた金額です
※小児矯正は65万円(税別)となります
※部分矯正は35〜60万円(税別)となります
など、どのような歯並びも
お任せください!
マウスピース矯正をお考えの方は
お気軽にご相談ください
マウスピース矯正と他の矯正を
比べてみよう
| マウスピース矯正 | ワイヤー矯正(表) | ワイヤー矯正(裏) | |
|---|---|---|---|
![]() |
![]() |
![]() |
|
| 目立ちにくさ | マウスピースは透明なため目立ちにくい | 金属のワイヤーだと目立つが、ホワイトワイヤーなどを使用すると目立ちにくい | 歯の裏側にワイヤーをつけるので目立ちにくい |
| 取り外し | 簡単に取り外し可能 | 取り外しはできない | 場合によってはできる |
| 金属 アレルギー |
金属アレルギーの心配はない | 金属のものを使用すると、金属アレルギーの心配がある | 金属のものを使用するため、金属アレルギーの心配がある |
| 痛み | ワイヤーを使用しないため痛みは少ない | 痛みや違和感を、感じることがある | 痛みや違和感を、感じることがある |
| 通院の間隔 | 2~3ヶ月に1回 | 月に1回程 | 月に1回程 |
| 治療費 | ワイヤー矯正とあまり変わらない | マウスピース型矯正とあまり変わらない | 他の治療方法と比較すると高い |
歯並びでお悩みの方、マウスピース矯正についてご質問がある方は無料カウンセリングをご利用ください。無料カウンセリングは予約制となっておりますので事前にご予約をお願いします。

疑問点やご不安なことなどお気軽にご質問ください。なるべく分かりやすく丁寧に説明させていただきます。よりご理解いただきやすいよう当院では無料カウンセリング時にいくつか検査を行います。
※カウンセリングは無料で行っておりますが、初診時の検査は3,850円(税込)程必要になります。


検査結果をもとにお口全体の状況をご説明させていただきます。また、3D口腔内スキャナーでスキャンした歯型をもとに、矯正中の歯の動きのシミュレーションを一緒にご確認いただきます。

むし歯や歯周病がある場合には、まず予防を徹底的に行います。その後長持ちするように、高い精度で治療を行います。

マウスピースを装着して矯正治療を開始します。また、お口の状態によっては歯周病や咬合、インプラントや補綴などその他の治療と組み合わせて、お口全体をトータル的に改善していくことも可能です。

歯並びがきれいに整った歯が後戻りしないように、矯正治療終了後保定装置を装着して歯を固定します。

矯正治療終了後もお口の健康を長期で維持できるよう定期的なメンテナンスを行います。ご自宅での歯磨きだけではなく、プロによる定期的なクリーニングや口腔内の検査によりむし歯・歯周病を予防していきましょう。




マウスピース矯正をお考えの方は
お気軽にご相談ください
トータルフィー制度
成人矯正 850,000〜950,000円(税抜)
(難易度による)
※矯正分析、抜歯、インプラントアンカー、調整料、保定料が含まれた金額です
※小児矯正は65万円(税別)となります
※部分矯正は35〜60万円(税別)となります
お支払いは窓口でのご一括の他、治療期間内での院内分割(手数料無)、
デンタルローンによる分割払いにも対応しております。
医療費控除について
医療費控除とは患者さん本人、または扶養内のご家族全員の1年間(1月1日~12月31日まで)の医療費の合計が10万円を超えた場合に、一定の金額が所得控除される制度です。
治療費用や交通費の領収書は保管しておくようにしましょう。
マウスピース矯正で対応できない症例はありますか?
ほとんどの症例に対応できますが、まれに不正咬合がひどく大きく動かす必要がある場合は、別の矯正方法のほうが適している場合があります。
マウスピース矯正で対応できない症例はありますか?
マウスピース矯正は極力抜歯をしないで済むような方法を検討しますが、お口の状態により抜歯を行うケースもございます。
頻繁にスポーツを行いますが矯正治療できますか?
スポーツを頻繁に行う方でも可能です。ワイヤーで行う矯正と比べても安全です。
矯正していることが他の人に分からないようにしたいのですが?
マウスピース矯正は透明で目立たない素材なのでほとんど気づかれることはありませんのでおすすめです。
マウスピース矯正をお考えの方は
お気軽にご相談ください
大杉歯科医院へ、ようこそ。
当院の最大の強みは「総合歯科医院」であることです。
「チーム医療」を重視しており、様々な専門分野(インプラント、歯周病治療、精密根管治療、審美歯科)のトレーニングを積んだ歯科医師に加え・矯正専門医・麻酔専門医・歯科衛生士・歯科技工士・スタッフが連携しながら、患者さんのお口のサポートに取り組んでおります。
それにより様々な視点から、お口全体を診査・診断できるので、患者さんにとって理想的な治療プランをご提案することができます。
矯正治療の目的である「審美・機能・安定」が達成できるよう、歯の動かし方・被せもののやり変え・歯が無い部分をどうするか、などを事前にシミュレーションを行い、治療後の状態にご納得をいただいてから治療を開始します。また、矯正中に歯周病・むし歯が進行しないよう、専属の歯科衛生士が術前〜術中〜術後とお口の管理を徹底させていただきます。
技術力の高い医院と自負しておりますので、他院で対応できずに悩まれているのであれば、ぜひ当院へご相談ください。
〒510-0303
三重県津市河芸町東千里175-2
| 診療時間 | 月 | 火 | 水 | 木 | 金 | 土 | 日 |
|---|---|---|---|---|---|---|---|
| 9:00 – 12:30 | ● | ● | ● | ● | ● | ● | / |
| 14:30 – 19:00 | ● | / | ● | / | ● | / | / |
| 14:00 – 18:30 | / | ● | / | ● | / | ▲ | / |
▲:土曜午後は18:00まで
休診日:日・祝
近鉄名古屋線「千里駅」徒歩4分
駐車場20台有り
当院のSNSもご覧ください