診療案内
当院が選ばれる理由
当院での治療を希望されたことには理由があります
歯を長持ちさせるために必要なことは「歯の外に対しての歯周病治療、歯の中に対しての根管治療」です。両者が複雑に絡んでいるケースもあり、それぞれに対処が必要な場合もあります。そのような場合でも歯科用CT・マイクロスコープを活用することで対応することが可能です。
当院には、歯、インプラント周囲に必要な骨・歯肉を再生し獲得する技術があります。
目次
当院の歯周病治療の特徴
また、根本的な治療のために、主訴部位だけでなく口腔内全体の状態を把握する必要があります。そのために当院では口腔内全体のデジタルレントゲン撮影を行います。
歯周病とは?


40歳以上の約8割がこの病気を患っており、「全世界で最も蔓延している病気」としてギネスに登録されているほどです。


歯を失う最も大きな原因となっている歯周病は、口中の細菌によって歯ぐきが炎症を起こし、進行すると歯を支えている骨が溶かされて失われていく病気です。
歯周病は初期の段階であれば簡単な処置で良い状態が保てますが、自覚症状が少ないため、重症になってはじめて治療を始める方がほとんどです。
歯周病は進行すると、様々な手術や、歯牙同士を固定するなどの処置が必要になってきます。しかし、たとえ適切に治療しても早期に治療した場合に比べ、条件は悪くなります。歯周病は早期発見・早期治療が大切なのです。大杉歯科では、「予防」、「適切な診断と治療」を心がけ、患者さんひとりひとりの歯の保全に全力を尽くしています。

進行の流れ

歯と歯ぐきの隙間(ポケット)がなく、ピンク色で歯ぐきが引き締まっている。

歯垢(プラーク)や歯石がたまり、歯肉が炎症を起こしている状態です。この段階では骨は溶けておらず歯磨きや歯石の除去によって治癒します。

歯肉の炎症が悪化し、歯周病の原因菌が歯肉の中に侵入している状態で、歯を支える骨などが溶けていきます。
歯肉の下にある歯石等の除去で治癒できる段階です。

炎症が拡大し歯を支えている骨がかなり溶け始めてきています。歯の動揺や出血によって歯の異常に気づくことがあります。歯石が歯肉の奥深くまで達している場合は、外科的な治療によってこれを除去します。専門的な治療が必要となる段階です。

歯を支えている骨の大部分が破壊され、場合によっては抜歯が必要となります。治療には歯周病専門歯科医による精密な治療が必要となります。
抜歯と言われても残せる可能性があります

他院で断られても諦めないでください
昨今では重度歯周病に対する治療の研究が進み、現在では歯周病により溶けた歯槽骨の再生が可能となっています。根の先端を超えるような骨吸収が起きていたとしても残すことができるとの報告もあります。
当院には、保存不可と診断された歯を保存してきた多数の実績があります。
難易度の高い治療ではありますが、歯科用CTによる正確な診断、マイクロスコープを用いた精密な治療により可能となります。
治療技術紹介
従来の歯周病治療とは異なり、組織が歯根面に到達することをメンブレン(人工膜)で防ぐことにより、歯根膜をもととした組織/細胞の新生を伴う結合組織性付着を形成できるようにする方法です。
歯周病によって歯を支える歯槽骨が溶けてしまっている場合などに、メンブレン(人工膜)を挿入しておくことで歯ぐきの侵入を防ぎつつ歯周組織の再生するスペースを確保できます。

エムドゲインゲルの主成分は、「エナメルマトリックスデリバティブ」と呼ばれる豚の歯胚組織からつくられたタンパク質の一種です。世界各国で使用されており、2002年に厚生労働省から認可を受けた安全な生体材料です。

費用
| 処置 | 種類 | 料金 |
|---|---|---|
| 歯周病治療 | 歯周組織再生療法 | 1本100,000〜範囲による |
※デンタルローンも使用可能です。
※価格はすべて税抜です。
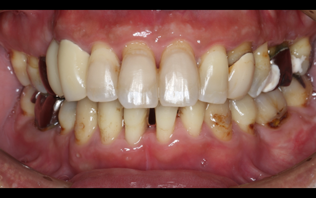
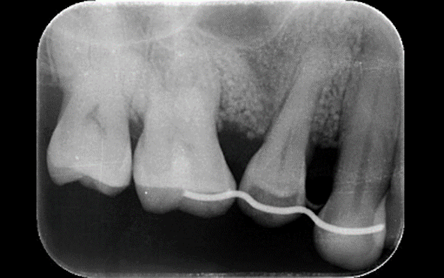
当院の歯周病治療


幸い歯周病の治療を進めると歯周組織に良好な反応が認められたため、再生療法に踏み切り、良好な結果を得ることができました。現在、術後3年経過してますが患者様はとても満足されています。
再生療法を行うメリットとしては、歯周ポケットが浅くなるので、患者様ご自身でのブラッシングで管理が容易になります。もちろん定期的なメインテナンスは必要不可欠です。

〜臼歯部の歯周組織再生療法〜


〜臼歯部の歯周組織再生療法〜

再生療法を行う利点としては、ポケットが浅くなるので、患者様ご自身でのブラッシングで管理し、コントロールすることが可能になります。もちろん定期的なメインテナンスは必要不可欠です。

〒510-0303 三重県津市河芸町東千里175-2
| 月 | 火 | 水 | 木 | 金 | 土 | 日 | |
| 9:00 - 13:00 | ● | ● | ● | - | ● | ● | - |
| 14:00 - 18:00 | - | - | ● | - | - | - | |
| 15:00 - 19:00 | ● | ● | - | - | ● | - | - |
| 14:00 - 17:30 | - | - | - | - | - | ● | - |
※土曜日は17:30/水曜日は18:00まで 【休診】木・日・祝
近鉄名古屋線「千里駅」徒歩4分 駐車場16台完備
津市の皆さまとともに、信頼できる歯科医院を目指して
当院は三重県津市に根ざし、安心して通える歯科医院であり続けることを大切にしています。 その取り組みの一環として、第三者機関であるNPO法人日本歯科医療評価機構による患者様満足度アンケートを実施しています。調査は匿名で行われ、患者様の個人情報が当院に伝わることはありませんので、安心してご協力いただけます。いただいたご意見は真摯に受け止め、日々の診療や医院運営の改善に活かしています。アンケート結果は当院ホームページ内の「第三者機関による患者様アンケート結果」バナーからご覧いただけます。
日本歯科医療評価機構とは
日本歯科医療評価機構は「安心して通える歯科医院を選びたい」という患者様の声に応えるために設立された組織で、客観的な調査を通じて歯科医療の質を可視化し、信頼できる医療環境の整備を目指しています。当院もその仕組みを活用し、地域の皆さまにより良い歯科医療をお届けできるよう努めてまいります。





