診療案内
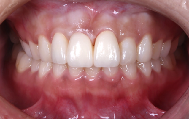
審美歯科治療
素敵なスマイルは、健康な⻭と健康な⻭茎のバランスによって生まれるものです。魅力的な笑顔は、外見的な美しさだけでなく、精神的な豊かさや若さの象徴でもあるといえるでしょう。
審美歯科治療について
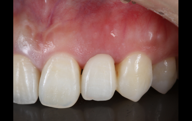
(実際の症例)

「歯冠長延長術(クラウンレングスニング)」は、歯肉を切開し、歯を支える骨(歯槽骨)を削ることで、治療が必要な部分を露出させる方法です。虫歯等が進行し、歯ぐきが覆いかぶさった状態になってしまっている場合に、歯ぐきを少し下げ治療を施すものです。
歯ぐきを上に露出させることで、精密な印象採得や、細菌感染の起こしにくい環境を作り、結果として長持ちさせる治療が可能となります。
(実際の症例)

有茎弁歯肉移植術、結合組織移植術、遊離歯肉移植術、GTR法(組織再生誘導法)などを活用し、虫歯や歯周病等によって退縮してしまいやせた歯茎に対して、結合組織移植術、遊離歯肉移植術を行い、審美的な改善や、歯肉退縮の予防、清掃性の改善を行います。
(実際の症例)

ダイレクトボンディングによる治療は、セラミックによる被せ物(クラウン)や詰め物(インレー)に比べて、歯を削る量を抑えることができる手法です。
当院では、色や透明感の異なる約十種類のプラスチックの中から、患者様の歯に合わせ選んだ多種類のプラスチックを重ね合わせていきます。従来の治療では困難であった自然な歯を再現可能としています。
(実際の症例)

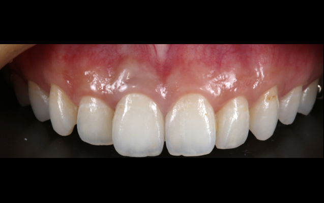
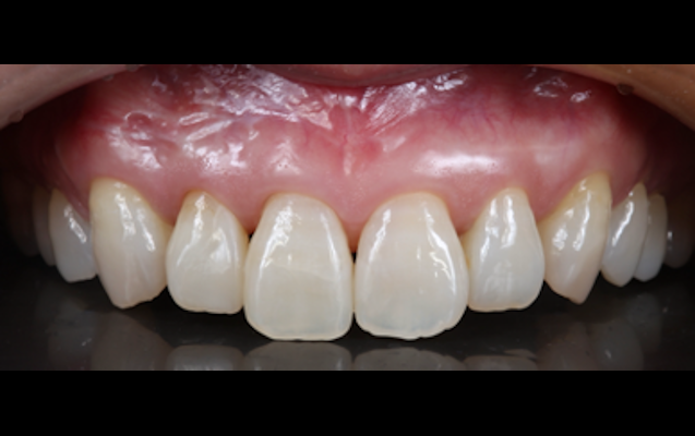
セラミッククラウンはご本人の歯を土台にしながら審美面を大きく改善でき、また噛み合わせや歯並びの矯正なども合わせて対応できることが特徴です。
当院では患者様一人ひとりに向き合った精密検査・診断を通してお口全体のバランスを整え、機能的で長持ちする審美治療としてセラミッククラウンをお作りしています。
(実際の症例)

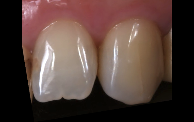
接着ブリッジは、通常のブリッジと同じように歯を支えるために隣接した歯を使いますが、土台となる歯の切削量が非常に少ないのが特徴です。
麻酔を行う必要もなく、患者様への負担も少ない上、削る範囲が虫歯になりやすい象牙質に及ばないため二次的な虫歯にもなりにくい治療法です。
(実際の症例)

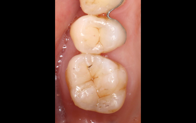
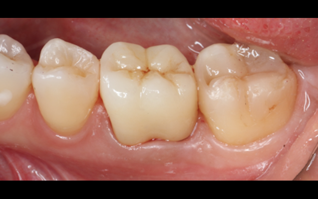
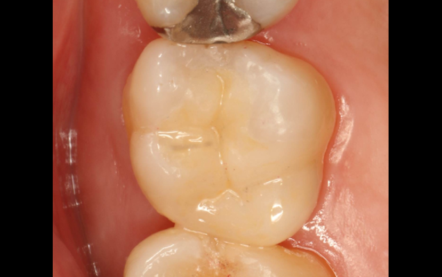
虫歯が範囲が狭い場合や治療済の金属を入れ替える場合、また患者様の健全な歯が多く残っている場合に最適な審美歯科治療です。
インレーは小さな虫歯、アンレーは中程度の虫歯に詰めるセラミックの詰め物のことで、歯の透明感や色を再現することが可能で、自然な仕上がりの審美性に高い治療方法となります。
(実際の症例)

歯を削らずに歯自体の色調をコントロールする治療法です。ホワイトニングで使われる主な薬は過酸化水素で、この過酸化水素が歯の表面にあるエナメル質に沈着した色素を細かく分解することで歯が白くなります。
ホワイトニングは永続的なものではありませんが、長持ちさせるためにも当院では施術後のメンテナンスも合わせてサポート致します。
(実際の症例)

ガムピーリングは、色素沈着等により変色してしまった歯肉にピーリング薬を塗ることで綺麗なピンク色に戻す治療です。
患者様の中には「歯ぐきが黒く自信が持てない」という方も少なくありません。歯のホワイトニングや歯科矯正と同様に歯ぐきのケアは大切なものと考え、当院ではガムピーリングをご提供しています。

費用
| 処置 | 種類 | 料金 |
|---|---|---|
| セラミック治療 | 前歯クラウン(ジルコニア築盛、ジルコニア、emaxステイン) | ¥120,000〜150,000 |
| 前歯ベニア(ジルコニア築盛、耐火模型法、emaxステイン) | ¥120,000〜150,000 | |
| 前歯ダミー(ジルコニア築盛、ジルコニア、emaxステイン) | ¥120,000〜150,000 | |
| 前歯接着性ブリッジ | ¥200,000 | |
| 臼歯クラウン(ジルコニア or emaxステイン) | ¥100,000〜120,000 | |
| 臼歯インレー、アンレー(ジルコニア or emaxステイン) | ¥80,000〜100,000 | |
| 臼歯ダミー(ジルコニア or emaxステイン) | ¥100,000〜120,000 | |
| ダイレクトボンディング | 前歯 | ¥60,000 |
| 臼歯(範囲・大) | ¥50,000 | |
| 臼歯(範囲・小) | ¥30,000 | |
| 歯周形成外科 | 歯冠長延長術 | 1本¥50,000〜範囲による |
| 結合組織移植 | 1本¥50,000〜範囲による | |
| 遊離歯肉移植 | 1本¥50,000〜範囲による |
※デンタルローンも使用可能です。
※価格はすべて税抜です。
マウスピース矯正とは?

〒510-0303 三重県津市河芸町東千里175-2
| 月 | 火 | 水 | 木 | 金 | 土 | 日 | |
| 9:00 - 13:00 | ● | ● | ● | - | ● | ● | - |
| 14:00 - 18:00 | - | - | ● | - | - | - | |
| 15:00 - 19:00 | ● | ● | - | - | ● | - | - |
| 14:00 - 17:30 | - | - | - | - | - | ● | - |
※土曜日は17:30/水曜日は18:00まで 【休診】木・日・祝
近鉄名古屋線「千里駅」徒歩4分 駐車場16台完備
津市の皆さまとともに、信頼できる歯科医院を目指して
当院は三重県津市に根ざし、安心して通える歯科医院であり続けることを大切にしています。 その取り組みの一環として、第三者機関であるNPO法人日本歯科医療評価機構による患者様満足度アンケートを実施しています。調査は匿名で行われ、患者様の個人情報が当院に伝わることはありませんので、安心してご協力いただけます。いただいたご意見は真摯に受け止め、日々の診療や医院運営の改善に活かしています。アンケート結果は当院ホームページ内の「第三者機関による患者様アンケート結果」バナーからご覧いただけます。
日本歯科医療評価機構とは
日本歯科医療評価機構は「安心して通える歯科医院を選びたい」という患者様の声に応えるために設立された組織で、客観的な調査を通じて歯科医療の質を可視化し、信頼できる医療環境の整備を目指しています。当院もその仕組みを活用し、地域の皆さまにより良い歯科医療をお届けできるよう努めてまいります。






